
안녕하세요 🌸
여러분의 건강 가이드, 오늘은 많은 분들이 궁금해하시는 대상포진 치료와 대처법에 대해 차근차근 알려드리겠습니다.
대상포진은 한 번 걸리면 통증이 심하고, 잘못 관리하면 후유증이 길게 남을 수 있는 질환이에요.
특히 면역력이 떨어진 40~60대에서 많이 나타나지만, 요즘은 스트레스와 과로가 많은 20~30대 젊은 층에서도 발병률이 점점 높아지고 있습니다.
그렇다면 대상포진에 걸렸을 때 어떻게 치료해야 가장 빠르고 효과적으로 회복할 수 있을까요?
지금부터 하나씩 안내해 드릴게요.



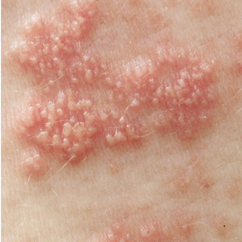
📌 대상포진이란?
대상포진은 수두-대상포진 바이러스(Varicella Zoster Virus)가 원인입니다.
어릴 때 수두에 걸린 뒤, 바이러스가 우리 몸의 신경절에 숨어 있다가 면역력이 약해지면 다시 활성화되어 발생합니다.
- 특징적인 증상: 물집이 띠 모양으로 퍼지면서 극심한 통증 동반
 - 발병 부위: 주로 몸통, 얼굴, 눈 주변, 목 등
 - 주요 위험 요인: 면역력 저하, 과로, 스트레스, 노화
 
👉 핵심은 면역력 관리와 빠른 치료 시작이에요.
📌 대상포진 치료의 핵심 원칙
대상포진 치료는 크게 두 가지 원칙이 있습니다.
- 바이러스 억제 → 원인을 차단
 - 통증 완화 → 삶의 질 유지
 
여기에 더해, 후유증(대상포진 후 신경통)을 최소화하는 것이 중요합니다.
1. 항바이러스제 치료 (가장 빠른 효과)
대상포진 치료의 가장 기본이자 가장 중요한 방법은 바로 항바이러스제 복용입니다.
- 대표 약물: 아시클로버(Acyclovir), 발라시클로버(Valaciclovir), 팜시클로버(Famciclovir)
 - 투여 시기: 증상 발생 후 72시간 이내 복용 시작이 가장 효과적
 - 효과:
- 바이러스 증식 억제
 - 수포와 발진 확산 방지
 - 통증 기간 단축
 - 후유증 위험 감소
 
 
👉 즉, "의심 증상이 나타나면 지체하지 말고 바로 병원에 가야 한다"는 게 핵심입니다. 왜냐하면? 대상포진은 수두-대상포진 바이러스가 신경(신경절)에서 다시 활성화돼 신경을 따라 피부로 퍼지는 질환이에요. 이때 바이러스 증식을 초기에 꺾어야 수포(물집) 확산과 신경 손상을 줄일 수 있습니다.
2. 통증 조절 (진통제·신경통 치료제)
대상포진은 통증이 가장 힘든 질환 중 하나입니다.
따라서 치료 시 반드시 통증 관리가 병행되어야 해요.
- 일반 진통제: 아세트아미노펜, 이부프로펜
 - 신경통 약물: 가바펜틴(Gabapentin), 프레가발린(Pregabalin)
 - 심한 통증 시: 신경차단술(국소마취 주사) 활용
 
👉 초기에 통증을 제대로 관리하지 않으면 만성 신경통으로 이어질 수 있으니, 진통제를 적극적으로 사용하는 게 좋아요.
.
3. 피부·상처 관리와 통증의 관계
👉 피부가 늘 자극되면 통증 신호가 증폭됩니다.
- 세심한 2차 감염 예방: 미온수 샤워, 부드러운 비누, 톡톡 건조
 - 비접착 거즈로 덮어 의복 마찰 감소
 - 차갑게(냉습포) 진정: 하루 2–3회, 10–15분(얼음찜질 직접 X, 동상 위험)
 - 연고·크림 남용 금지: 스테로이드·항생제 연고는 의사 처방 시 사용
 - 꿀/식초/알코올 등 민간요법은 통증·염증 악화 가능성 → NO!
 
4. 면역력 회복을 위한 생활 관리
대상포진은 면역력이 떨어질 때 발생합니다.
따라서 치료와 함께 생활 관리가 병행되어야 빨리 회복됩니다.
- 충분한 휴식과 수면
 - 스트레스 최소화
 - 균형 잡힌 영양 섭취 (단백질, 비타민, 항산화 식품)
 - 무리한 운동은 피하고 가벼운 스트레칭 정도
 
5. 대상포진 후 신경통(후유증) 관리
대상포진의 가장 무서운 후유증은 대상포진 후 신경통(포스트 헤르페틱 뉴럴지아, PHN)입니다.
- 발병 환자의 약 10~20%에서 발생
 - 특히 60세 이상에서 빈도 높음
 - 통증이 몇 달~몇 년 지속될 수 있음
 
👉 초기에 항바이러스제 치료 + 통증 조절을 철저히 해야 후유증 위험이 줄어듭니다.
6. 즉시 대처법 정리
혹시 지금 피부에 띠 모양 발진 + 따끔거림 + 물집이 생겼나요?
그렇다면 이렇게 하세요.
- 즉시 병원 방문 (72시간 내 항바이러스제 시작)
 - 통증이 심하면 주저하지 말고 진통제 복용
 - 수포는 터뜨리지 말고, 청결하게 유지
 - 무리하지 말고 휴식
 - 면역력 높이는 식습관 유지
 
👉 "빨리 병원 → 항바이러스제 시작 → 통증 관리" 이 3단계가 핵심입니다.



7. 예방 백신 (재발·발병 위험 줄이기)
대상포진은 백신으로 예방할 수 있습니다.
- 50세 이상 성인 권장
 - 대상포진 백신(조스타박스, 싱그릭스 등) 접종 시 발병률 약 50~90% 감소
 - 이미 걸린 적 있어도 재발 방지를 위해 맞을 수 있음
 
👉 대상포진은 한 번 걸렸다고 끝이 아니라, 재발할 수 있어 예방 백신이 중요합니다.
8. 대상포진과 혼동하기 쉬운 질환
대상포진은 다른 피부 질환과 헷갈릴 수 있습니다.
- 단순 피부염: 가렵지만 신경통은 없음
 - 알레르기: 대칭적으로 나타나는 경우 많음
 - 대상포진: 한쪽에만 띠 모양, 심한 통증 동반
 
👉 혼동될 땐 피부과·내과 전문의 진료를 꼭 받으세요.
✅ 마지막 정리
오늘은 제가 대상포진 치료방법 총정리를 알려드렸습니다.
핵심 포인트는 이겁니다.
- 항바이러스제는 72시간 내 시작
 - 통증은 적극적으로 조절
 - 피부는 청결 유지
 - 면역력 회복 생활습관 필수
 - 백신으로 예방 가능
 
대상포진은 "시간과의 싸움"이에요.
증상을 느끼는 순간 바로 병원에 가야 후유증을 줄일 수 있습니다.
여러분의 빠른 회복과 건강을 진심으로 응원합니다 💙
✍️ 이 글은 일반적인 건강 정보 제공 목적이며, 개인의 상태에 따라 다를 수 있습니다.
정확한 진단과 치료는 반드시 전문의 상담을 권장드립니다.